전립선암 초기증상, 생존율, 원인, 수술방법, 그리고 좋은음식에는 어떤게 있는지 알아보겠습니다.
전립선암이란?



전립선암은 남성의 생식기관 중 하나인 전립선에서 발생하는 암입니다. 전립선은 소변과 정액의 일부를 생산하며, 나이가 들면서 비대해질 수 있는 기관입니다. 전립선암은 초기에는 증상이 거의 없지만, 진행되면서 다양한 증상을 유발할 수 있습니다.
전립선암 초기증상
전립선암의 초기에는 증상이 거의 없거나 미미하여 진단이 어려울 수 있습니다. 그러나 암이 진행됨에 따라 다음과 같은 증상이 나타날 수 있습니다



- 빈뇨: 자주 소변을 보는 증상
- 야뇨증: 밤에 자주 일어나 소변을 보는 증상
- 배뇨 곤란: 소변을 볼 때 통증이나 불편함을 느끼는 증상
- 혈뇨: 소변에 혈액이 섞여 나오는 증상
- 사정 시 통증: 성교 중이나 사정 시 통증을 느끼는 증상
- 골반 통증: 골반 부위나 허리, 대퇴부에 통증이 나타나는 경우
전립선암 원인
전립선암의 정확한 원인은 아직 밝혀지지 않았으나, 여러 요인이 복합적으로 작용하는 것으로 알려져 있습니다. 주요 위험 요인은 다음과 같습니다
- 나이: 전립선암은 주로 50세 이상의 남성에게 발생합니다.
- 가족력: 전립선암 가족력이 있는 경우 발병 위험이 높아집니다.
- 인종: 아프리카계 미국인 남성이 다른 인종에 비해 발병률이 높습니다.
- 식습관: 고지방 식품을 많이 섭취하는 경우 발병 위험이 증가할 수 있습니다.
- 호르몬: 남성 호르몬인 테스토스테론이 전립선암의 성장에 영향을 미칠 수 있습니다.
전립선암 단계별 생존율
전립선암은 1기에서 4기까지 나누어집니다. 각 단계별 생존율은 다음과 같습니다:
- 1기: 암이 전립선에 국한되어 있으며, 5년 생존율이 거의 100%에 가깝습니다.
- 2기: 암이 전립선에 더 깊이 퍼져 있지만 여전히 전립선 내에 있습니다. 5년 생존율은 99% 정도입니다.
- 3기: 암이 전립선 주변 조직으로 퍼진 경우, 5년 생존율은 약 95%입니다.
- 4기: 암이 전이된 경우, 5년 생존율은 약 30% 정도로 낮아집니다.



전립선암 검사
전립선암의 진단을 위해 여러 가지 검사가 사용됩니다:
- PSA 검사: 전립선 특이 항원(Prostate-Specific Antigen) 수치를 측정하는 혈액 검사로, 전립선암의 초기 발견에 유용합니다.
- 직장수지검사(DRE): 의사가 손가락을 통해 직장으로 전립선을 만져서 이상 유무를 확인합니다.
- 생검: 전립선 조직을 채취하여 암세포 유무를 확인하는 방법입니다.
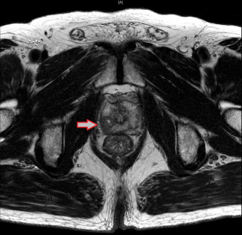
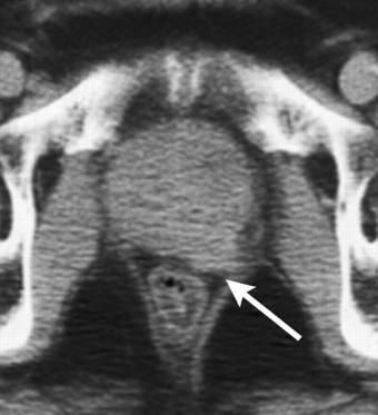
- 영상 검사: 초음파, MRI, CT 스캔 등을 통해 전립선의 상태와 암의 퍼진 정도를 확인합니다.
PSA 수치
PSA 수치는 전립선암 진단과 추적 관찰에 중요한 역할을 합니다. 일반적으로 PSA 수치가 4ng/mL 이하인 경우 정상으로 간주되지만, 나이와 다른 요인에 따라 다를 수 있습니다. 높은 PSA 수치는 전립선암을 시사할 수 있으므로 추가 검사가 필요합니다.



전립선에 좋은 음식과 암 예방 수칙 필
전립선 건강의 중요성 전립선은 남성의 생식 기관 중 하나로, 소변과 정액의 흐름을 조절하는 중요한 역할을 합니다.전립선 건강이 나빠지면 여러 가지 문제가 발생할 수 있으며, 이는 일상 생
h.infobox.kr
전립선암 치료 방법
전립선암의 치료는 암의 단계, 환자의 건강 상태, 나이 및 개인적인 선호도에 따라 달라집니다. 주요 치료 방법에는 수술, 방사선 치료, 호르몬 요법, 화학 요법, 면역 요법 등이 있습니다.
1. 수술
- 근치적 전립선 절제술 (Radical Prostatectomy) : 근치적 전립선 절제술은 전립선암 초기 단계에서 전립선과 주변 조직을 제거하는 수술입니다. 이 수술은 전립선, 정낭 및 일부 주변 조직을 제거합니다. 수술 후 합병증으로는 요실금과 발기부전이 있을 수 있습니다.
- 로봇 보조 전립선 절제술 (Robot-Assisted Prostatectomy) : 로봇 보조 전립선 절제술은 최소 침습 수술로, 다빈치 로봇 시스템을 이용하여 수술을 진행합니다. 로봇 팔을 통해 외과 의사는 더 정밀하게 수술을 수행할 수 있으며, 이로 인해 출혈이 적고 회복 기간이 짧습니다.
2. 방사선 치료
- 외부 방사선 치료 (External Beam Radiation Therapy) : 외부 방사선 치료는 고에너지 방사선을 사용하여 전립선에 있는 암세포를 파괴하는 방법입니다. 일반적으로 매일 일정 기간 동안 치료를 받습니다. 부작용으로는 피로, 직장염, 요도 자극 등이 있을 수 있습니다.
- 브라키테라피 (Brachytherapy) : 브라키테라피는 전립선 내부에 방사성 물질을 삽입하여 암세포를 파괴하는 방법입니다. 이 방법은 고선량률(HDR)과 저선량률(LDR) 두 가지로 나뉩니다. 부작용으로는 요도 자극, 배뇨 곤란 등이 있을 수 있습니다.
3. 호르몬 요법 (Hormone Therapy)
호르몬 요법은 테스토스테론과 같은 남성 호르몬을 억제하여 암의 성장을 늦추는 방법입니다. 주로 전이성 전립선암이나 재발된 전립선암에 사용됩니다.
- LHRH 아날로그 (Luteinizing Hormone-Releasing Hormone Analogues) : LHRH 아날로그는 테스토스테론 생산을 억제하는 약물로, 주사 형태로 투여됩니다.
- 항안드로겐 (Anti-Androgens) : 항안드로겐 약물은 테스토스테론이 암세포에 작용하는 것을 막습니다. 주사 또는 경구 형태로 투여됩니다.
4. 화학 요법 (Chemotherapy)
화학 요법은 항암제를 이용하여 빠르게 성장하는 암세포를 파괴하는 치료 방법입니다. 전이성 전립선암이나 호르몬 요법에 반응하지 않는 경우 주로 사용됩니다. 일반적으로 주사 형태로 투여되며, 부작용으로는 탈모, 구역, 구토, 피로 등이 있습니다.
5. 면역 요법 (Immunotherapy)
면역 요법은 환자의 면역 시스템을 강화하여 암세포를 공격하는 방법입니다. 전립선암에서 사용되는 면역 요법으로는 백신 치료와 면역 체크포인트 억제제가 있습니다.
- 시펩루셀-T (Sipuleucel-T) : 시펩루셀-T는 환자의 면역 세포를 추출하여 실험실에서 재프로그램한 후 다시 주입하여 암세포를 공격하게 하는 방법입니다.


전립선암에 좋은 음식
전립선암 예방과 관리에 도움이 되는 음식은 다음과 같습니다:
- 토마토: 라이코펜 성분이 풍부하여 항암 효과가 있습니다.
- 녹차: 항산화 성분인 카테킨이 암 예방에 도움을 줍니다.
- 브로콜리: 설포라판이 암세포의 성장을 억제합니다.
- 생선: 오메가-3 지방산이 풍부하여 염증을 줄이고 암 예방에 효과적입니다.
- 콩류: 이소플라본 성분이 호르몬 균형을 맞추는 데 도움이 됩니다.
전립선암은 조기 발견과 적절한 치료로 좋은 예후를 기대할 수 있는 질환입니다. 정기적인 검진과 건강한 생활 습관을 통해 예방하고 관리하는 것이 중요합니다.



2024.07.19 - [Health] - 전립선에 좋은 음식과 암 예방 수칙 필
전립선에 좋은 음식과 암 예방 수칙 필
전립선 건강의 중요성 전립선은 남성의 생식 기관 중 하나로, 소변과 정액의 흐름을 조절하는 중요한 역할을 합니다.전립선 건강이 나빠지면 여러 가지 문제가 발생할 수 있으며, 이는 일상 생
h.infobox.kr